Cargando...
Pasar al contenido principal

Menu superior destacados

  • Cómo solicitar el certificado de discapacidad
  • Prestaciones para personas con discapacidad
  • Salud mental
Inicio
  • Inicio
  • Discapacidad
  • Innovación
  • Educación
  • Contacto
  • Temas
    • Accesibilidad
    • Alianzas por la inclusión
    • Deporte adaptado
    • Derechos
    • Empleo
    • Latinoamerica
    • Mayores
    • Medio Ambiente
    • Mujer
    • Ocio
    • Premios Discapnet
    • Salud
    • Vida independiente
  • Quiénes somos

Noticias fácilabre ventana nuevaabre en ventana nueva

Enfermedad de Whipple

  1. Inicio
  2. Salud
  3. Qué es una enfermedad y tipos de enfermedades
  4. Enfermedades infecciosas
  5. https://discapnetd10-pre.ilulab.es/salud/enfermedades/enfermedades-infecciosas/enfermedad-de-whipple Enfermedad de Whipple
Luis Maita
 | Publicación: 3 Febrero 2021 | Última actualización: 24 Septiembre 2024

La enfermedad de Whipple es una enfermedad crónica sistémica que afecta principalmente al sistema digestivo. Fue descrita por primera vez en 1907 por George H. Whipple. Esta enfermedad puede comprometer diversos órganos del cuerpo humano y su diagnóstico y tratamiento han sido un desafío debido a la capacidad de la bacteria de evadir el sistema inmunológico del huésped.

Descripción

La enfermedad de Whipple es una infección por la bacteria Tropheryma whippleli que produce una afectación variable de diferentes órganos, siendo las articulaciones, el sistema digestivo, el corazón y el sistema nervioso central las principales dianas del bacilo.

Epidemiología y etiología

Como hemos dicho, una bacteria es la responsable de la clínica. Sin embargo, tanto la vía de infección como algunos aspectos de la enfermedad, resultan todavía desconocidos. En efecto, el hecho de que esta enfermedad afecte en su mayoría a varones entre 40 y 50 años, la ausencia de brotes o epidemias o de agregación intrafamiliar, así como la baja frecuencia (tan solo hay descritos unos 1000 casos en el mundo), hacen pensar en que existen otros factores de predisposición a la enfermedad ajenos a la infección.

Las dificultades para el diagnóstico, debido a la inespecificidad de la clínica y a la ausencia de medios de cultivo viables para la bacteria hasta hace poco, probablemente nos hayan hecho subestimar la incidencia de la enfermedad.

Se cree que la vía de entrada es la digestiva, a través de agua contaminada, con infección a nivel del duodeno principalmente.

Clínica

Clásicamente, se ha dividido la enfermedad en tres estadios, que pueden estar espaciados por años en el tiempo.

Primer estadio

En el primero, predomina una clínica inespecífica, con artralgias, pérdida de apetito y de peso, fiebre, dolor abdominal y tos.

Segundo estadio

Una segunda fase se caracteriza por la aparición de una diarrea de aspecto esteatorreico (con alto contenido en grasa) con dolor abdominal e importante pérdida de peso.

Tercer estadio

Por último, llega un tercer estadio donde aparecen las complicaciones neurológicas, cardiacas y una hiperpigmentación cutánea, además de las manifestaciones ya descritas, y una mayor pérdida de peso que puede llegar a la caquexia (síndrome caracterizado por la pérdida de peso, la atrofia muscular y la debilidad generalizada).

La evolución natural de la enfermedad lleva a la muerte en un importante número de casos.

La afectación articular es la más frecuente. Puede producirse muchos años antes del resto de los síntomas, y se caracteriza por poliartralgias simétricas y migratorias, con predilección por los miembros inferiores.

La clínica digestiva puede estar ausente en un alto porcentaje de pacientes. Como ya hemos dicho, suele ser muy inespecífica, existiendo dolor abdominal y una diarrea crónica de características esteatorreicas, con pérdida de apetito y de peso asociadas.

En el sistema nervioso central, la enfermedad puede manifestarse como un simple dolor de cabeza, o bien producir una clínica más abigarrada, con síntomas de meningitis (dolor de cabeza, fiebre elevada y alteración del nivel de conciencia), o la tríada clásica de esta enfermedad neurológica, que consiste en:

  • Demencia.
  • Alteraciones en la movilidad ocular.
  • Mioclonías (movimientos anormales involuntarios).

Otro sistema frecuentemente involucrado es el cardiovascular. Suelen ser manifestaciones tardías de la enfermedad. Pueden producirse pericarditis, miocarditis o endocarditis, de difícil diagnóstico etiológico debido a la negatividad de los cultivos, y la habitual separación temporal con el resto de la clínica.

Por último, también se han descrito lesiones de otros órganos, como los ojos, en los que puede aparecer en forma de uveítis o queratitis.

Diagnóstico

Hasta hace poco tiempo, el diagnóstico de esta enfermedad resultaba muy complicado debido a la ausencia de pruebas específicas para identificar al bacilo.

La principal arma diagnóstica sigue siendo la sospecha clínica, que antes se apoyaba únicamente en alteraciones analíticas inespecíficas, que revelaban una anemia normocítica hipocrómica y datos de mala absorción, como niveles bajos de albúmina y colesterol en sangre.

El análisis de los diferentes líquidos afectados (líquido cefalorraquídeo, articular) suele ser poco importante.

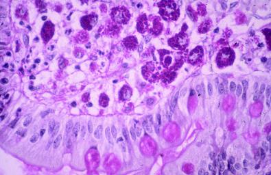
La imagen muestra el hallazgo típico de macrófagos PAS positivos infiltrando la lámina propia y la dilatación de los linfáticosEl diagnóstico de presunción se establecía mediante la realización de una biopsia intestinal, en la que se aprecian cambios histológicos, de los cuales el más característico es la presencia de macrófagos con un contenido citoplasmático PAS positivo. Estos cambios no son específicos de la enfermedad de Whipple, pudiendo estar presentes en otras infecciones, como la tuberculosis, y en enfermedades inflamatorias como la sarcoidosis.

Algunas pruebas radiológicas, como el tránsito baritado intestinal, pueden resultar útiles. En ellas se aprecian lesiones y aumento del tamaño de los pliegues intestinales a nivel duodenal.

En los últimos años, se han desarrollado técnicas microbiológicas que pueden ayudar al diagnóstico de la enfermedad. Las más destacadas son la detección de la bacteria mediante amplificación por PCR en diferentes tejidos (biopsia) o líquidos orgánicos (LCR, articular), la detección de anticuerpos frente al T. whippleli, siendo de mayor valor la presencia de IgM, o más recientemente aún, el desarrollo de medios de cultivo viables para el bacilo.

Tratamiento

El tratamiento de esta enfermedad es con antibiótico y ha mejorado notablemente el pronóstico de la misma. Este se realiza en dos fases:

  • Una fase inicial de dos semanas de duración, con 1,2 MU de penicilina G intramuscular y 1 g de estreptomicina diario.
  • Una fase de mantenimiento, con un comprimido de trimetroprim-sulfametoxazol cada 12 horas. La duración de esta segunda fase es variable, no siendo aconsejable nunca que sea menor de 6 meses debido a la alta incidencia de recaídas.

Pronóstico

Desde el descubrimiento del origen infeccioso de la clínica y la llegada de los antibióticos, el pronóstico de la enfermedad ha mejorado sustancialmente, llegando a una tasa de curación sin secuelas mayores del 90%.

Sin embargo, siguen siendo frecuentes las recaídas, en forma generalmente de afectación neurológica o cardiovascular. Estas suelen producirse en los primeros cuatro años tras el diagnóstico, por lo que es recomendable un seguimiento médico prolongado (se recomiendan hasta 10 años).

Bibliografía +

  • Ioannou P, Kourtidis M, Mytilinis DO, Psyllaki A, Baliou S, Kofteridis D, 2023, Whipple's disease-associated infective endocarditis: a systematic review, Infect Dis (Lond), 10.1080/23744235.2023.2214610, https://pubmed.ncbi.nlm.nih.gov/37198913/

  • Lagier JC, Raoult D, 2018, Whipple's disease and Tropheryma whipplei infections: when to suspect them and how to diagnose and treat them, 10.1097/QCO.0000000000000489, Curr Opin Infect Dis, https://pubmed.ncbi.nlm.nih.gov/30299363/

¿Cómo citar este artículo? +

  • Autor(es): Luis Maita, Obra: Enfermedad de Whipple, Publicación: 3 Febrero 2021 , Última actualización: 24 Septiembre 2024 , Lugar de publicación: Madrid, URL: https://discapnetd10-pre.ilulab.es/salud/enfermedades/enfermedades-infecciosas/enfermedad-de-whipple

    Copiar al portapapeles Copiar
  • Facebook
  • Linkedin
  • X

Suscríbete a la newsletter

Accede a noticias, ayudas y novedades sobre discapacidad.

Los campos marcados con un asterisco (*) son obligatorios.

Condiciones de uso

ILUNION Accesibilidad, como responsable del tratamiento, tratará tus datos personales con la finalidad de gestionar tu suscripción y enviarte la newsletter informativa de Discapnet. La base legal para este tratamiento es tu consentimiento. Tus datos se conservarán mientras mantengas activa tu suscripción.

Los datos serán tratados a través de la plataforma MailChimp, como encargado del tratamiento. Esta plataforma está ubicada en Estados Unidos, lo que implica una transferencia internacional de datos. Esta transferencia se realiza con las garantías adecuadas conforme a la normativa europea de protección de datos.

Puedes ejercer tus derechos de acceso, rectificación, supresión, oposición, limitación del tratamiento y portabilidad, así como retirar tu consentimiento en cualquier momento, escribiendo a protecciondedatos@ilunion.com.

Puedes consultar la información adicional y detallada en nuestra Política de Privacidad .

¡Síguenos en:

  • YouTube
  • Facebook
  • X
  • Instagram
  • LinkedIn 

Menú del pie

  • Accesibilidad
  • Aviso legal
  • Política de cookies
  • Política de privacidad
  • RSS
Grupo Social ONCE